Smile Away Your Problems & Wear a beautiful Smile

TA - 1, Okhla Estate Road, Tughlakabad Extension, New Delhi - 110019

011 - 40529029 , +91 - 8178881784

Call / WhatsAPP

Don't delay to consult
the best doctors

Pediatric & Preventive Dentistry

Prevention of Caries

Early intervention & pervention of dental Caries in children is an impotant health concern.
Few ways like

  • Correct diet counselling
  • Early Caries detection
  • Fluoride application
  • Pit & fissure sealant

will surely provide a child with better dental health and general

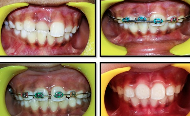
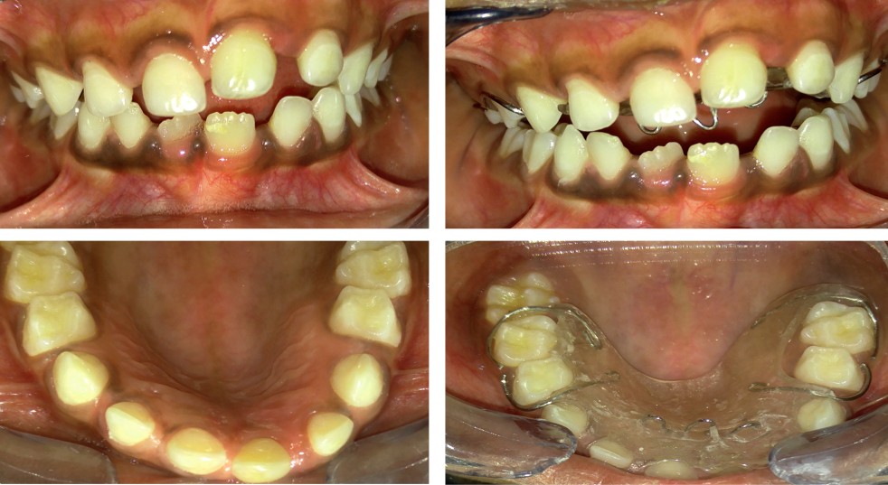
Pediatric Orthodontics

Early detection of malaligned and differently placed teeth in child's mouth is an important factor for future prevention from dental problems.

Our experienced pediatriv dentist helps you to recognise these conditions and treat them wuth removable or fixed treatment opinions. Restoring te besutiful smiles of kids.

RCT in Children

Root Canal Treatment in children is no different from adults except some different restoration/obheration material.It is indicated / required in severaly delayed teeth with infected pulp and are hence painful.

RCT in milk teeth . Primary teeth is necessary to make way for healthy permanent teeth and give a child confident and healthy oral cavity.

Treatment of Oral Habits

Children / Kids acquire habits all through their development period. Some are good but some are bad especially for dental tissues. Like thumb sucking, tongue thristing, nail biting, pencil biting, mouth breathing, lip sucking.

Careful exaination and early intervention can help prevent damage to the oral tissue permanently. Their habits could be Psychological or due to medical reasons let our experienced pediatric dentist take care od your cild's problem.

Dental Treatment Under GA/Sedation

Children at an early age have fear and anxiety of dentist and the instruments used by them. Hence making them uncooperative and resitent to the treatment. This is in turn leads to suffering they experience due to dental pain.

To overcome this fear we have adopted few sedation techniques which calms the patient while the procedure is done and is completly safe and effective. Inhalation dedation and general anaesthesia are few of them.
Consult us to know more.